Todos los dientes definitivos erupcionan (es decir, van empujando a los dientes de leche hasta que los hacen caer) durante el período de cambio de dentición. Este período varía en función de la velocidad de recambio dentario, no siendo motivo de preocupación tardar un poco o incluso hacerlo antes de lo normal.
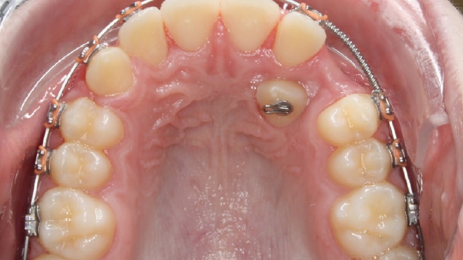
Pero algunas veces, los dientes definitivos no consiguen salir y quedan “retenidos” en el hueso por “debajo” de sus predecesores de leche. Esto se conoce con el nombre de diente incluido o retenido.
Los dientes que con más frecuencia son afectados son los cordales (muelas del juicio) y los caninos superiores, aunque a veces lo encontramos también en otros dientes menos frecuentes.
Las causas más frecuentes de esta alteración son la falta de espacio para poder erupcionar correctamente, la carga hereditaria (familiares cercanos que también tienen ese mismo problema) y los traumatismos. También habría que descartar otros obstáculos que pueden dificultar la erupción de los dientes como la presencia de quistes, supernumerarios (dientes de más), etc.
Es de gran importancia saber que cuando un diente se impacta pueden surgir complicaciones como la formación de un quiste e incluso poder llegar a afectar a los dientes adyacentes.
Nuestra recomendación es visitar al ortodoncista a partir de los 7 años, ya que mediante una radiografía (ortopantomografía) se puede diagnosticar precozmente el diente incluido.
En cuanto se diagnostica que hay un diente incluido, es necesario estudiar con detalle el caso, ya que muchas veces lo más indicado es abrirle espacio mediante la ortodoncia y posteriormente llevar el diente incluido a su posición correcta en boca.
Otras veces, como ocurre con las muelas del juicio, si no hay espacio suficiente para que erupcionen correctamente, el ortodoncista puede recomendar acudir a un cirujano para extraerlas en el momento más adecuado.
Un artículo de Alcoy Centro Ortodoncia.



![[Img #18134]](upload/img/periodico/img_18134.jpg)
![[Img #18133]](upload/img/periodico/img_18133.jpg)



















