El tratamiento con Invisalign consiste en una serie de alineadores transparentes que actúan moviendo los dientes de forma gradual y semana tras semana hasta que alcanzan la posición correcta. Este tratamiento funciona para una gran variedad de personas, adultos o jóvenes, cuyos dientes están apiñados o demasiado separados e incluso para personas que en su juventud llevaron aparato de ortodoncia y sólo necesitan pequeños arreglos de algún diente en mala posición.
La máxima eficacia del tratamiento se consigue si los alineadores se llevan entre 20 y 22 horas al día y dependen del tipo de maloclusión, estos se van cambiando cada 2 ó 3 semanas y solo se quitan para comer y para cepillarse los dientes, por lo que es mucho más fácil mantener una correcta higiene bucal con este tratamiento antes que con los braquets tradicionales.
Los dientes muy separados entre sí se pueden tratar con Invisalign también. Tenerlos separados se puede deber a dientes pequeños, al crecimiento anormal de la mandíbula, a la genética, a la falta de otros dientes y/o a la protrusión de la lengua.
Los diastemas o pequeños espacios entre dientes pueden dar lugar a cúmulos de sarro, gingivitis, y con el tiempo a enfermedad periodontal que puede conllevar a futura pérdida de piezas dentales. Con los alineadores conseguiremos mantener ese espacio durante todo el tratamiento para posteriormente colocar un implante o prótesis fija en ese hueco.
![[Img #24927]](upload/img/periodico/img_24927.jpg)
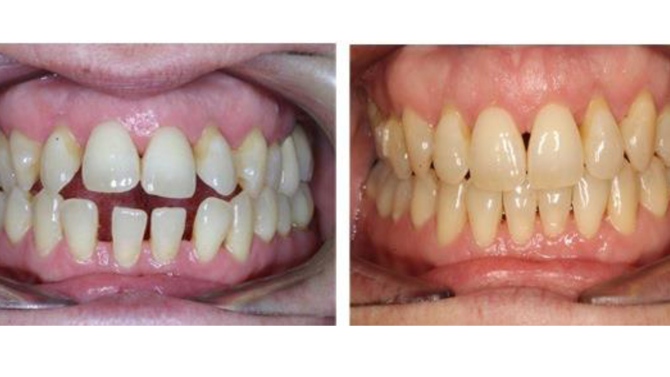
En muchas ocasiones los problemas periodontales hacen que aparezcan espacios entre los dientes, que hace unos años el paciente no tenía. Se debe en parte a la disminución de la cantidad de hueso que soporta las raíces, y en parte a la fuerza de la masticación; que van haciendo que los dientes se inclinen hacia delante. Si a esto añadimos la pérdida de algún diente posterior, la situación empeora y aún se agravan más los espacios. Si hay bastantes espacios entre los dientes, a veces no es posible solucionarlo con fundas o carillas, porque para cerrar por completo esos espacios dejaríamos unos dientes muy anchos, muy poco estéticos.
Lo más importante en los pacientes con enfermedad periodontal, es que con el tratamiento con Invisalign la higiene oral es mucho más sencilla que con braquets, ya que es removible y se puede quitar a la hora de lavarse los dientes y usar perfectamente la seda dental como antes de empezar el tratamiento.




![[Img #24928]](upload/img/periodico/img_24928.jpg)


















