Pagina 66, Noticias de Alcoy y de El Comtat

ALCOY CENTRO ORTODONCIA

Señales con las que puedes ver si tu hijo necesita aparato

Redacción - Dimarts, 07 de Juny del 2016
Tiempo de lectura:

SALUD DENTAL. Primer artículo de tres en los que hablamos de estos signos.

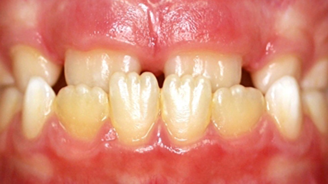
En el día a día  nos encontramos con padres que nos preguntan cuándo deben traer a su hijo pequeño a su primera revisión. Durante el recambio dentario surgen dudas y no saben si está todo correcto.

 

[Img #28188]

 

A los 7 años, la mayoría de los niños han cambiado alguno de sus dientes de leche por los definitivos. En ese momento, ya podemos observar algunos signos que se presentan y que necesitarán una sencilla revisión.

 

Empezamos viendo la mordida cruzada, los dientes salidos en exceso y la pérdida prematura de un diente de leche. En próximos números veremos más signos.

 

MORDIDA CRUZADA O INVERTIDA

El cierre correcto de la boca es cuando todos los dientes superiores cierran por fuera de los dientes inferiores.

 

En una mordida cruzada algún diente superior cierra por dentro del inferior. Este tipo de cierre puede producir un crecimiento asimétrico de los huesos y complicaciones futuras. Estos casos suelen ser debidos por un crecimiento deficiente del paladar o por un crecimiento excesivo de la mandíbula.

 

[Img #28187]

 

Requieren de un tratamiento sencillo mediante un disyuntor que se coloca en el paladar. Además de la corrección, se mejora la salida de los dientes, se corrige la forma de paladar ojival, y se mejora el flujo de las vías aéreas.

 

A los 7 años es el momento idóneo de realizar el tratamiento, ya que es el momento más apropiado para comenzar una ortopedia del paladar.

 

DIENTES SALIDOS EN EXCESO HACIA DELANTE

Esta anomalía se debe generalmente a un paladar estrecho, en el que los dientes superiores sobresalen hacia adelante.

 

El tratamiento es muy sencillo y además de reducir la deformidad existente, previene a los dientes de un traumatismo si el niño cae al suelo y se golpea los dientes.

 

PÉRDIDA PREMATURA DE UN DIENTE DE LECHE

Cuando se pierde un diente de leche, es importante acudir a una revisión ya que muchas veces el espacio se va cerrando, evitando la salida correcta del definitivo. En estos casos se suelen colocar unos aparatos que se llaman mantenedores de espacio que evitan que este se cierre, permitiendo que el diente definitivo salga correctamente.

 

Más contenidos

Publicidad

X
Con tu cuenta registrada

Escribe tu correo y te enviaremos un enlace para que escribas una nueva contraseña.